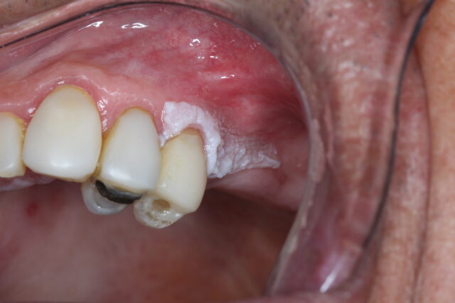
Uma mancha branca persistente na boca pode ter várias causas. Quando ela não sai ao raspar e não pode ser diagnosticada clinicamente como outra lesão comum, pode ser chamada de leucoplasia. Esse é um termo clínico usado após excluir outras doenças. Nem toda leucoplasia é grave, mas toda mancha branca persistente deve ser avaliada por um dentista, preferencialmente um estomatologista.
O que é leucoplasia?
Leucoplasia é o nome dado a uma placa branca na mucosa da boca que não pode ser classificada como outra lesão conhecida.
É um diagnóstico por exclusão.
Isso significa que o profissional precisa descartar outras causas antes de usar esse termo.
Ela pode aparecer em:
- Língua
- Bochecha
- Assoalho da boca
- Gengiva
- Lábios
Pode ser lisa, espessa, homogênea ou apresentar áreas irregulares.
Por que a boca pode apresentar manchas brancas?
A mucosa bucal pode mudar de cor por motivos fisiológicos (normais) ou patológicos (doença).
Algumas causas comuns de manchas brancas incluem:
- Candidíase oral (placa branca que sai ao raspar)
- Liquen plano (lesões esbranquiçadas em padrão rendilhado)
- Queratose por trauma (mordida repetitiva ou prótese machucando)
- Estomatite nicotínica (associada ao tabagismo)
- Leucoedema (variação normal da mucosa)
- Nevo branco esponjoso (condição genética rara)
Por isso, não é possível diagnosticar apenas pela aparência.
Como diferenciar leucoplasia de outras lesões brancas?
A diferenciação é feita por avaliação clínica cuidadosa.
O estomatologista observa:
- Se a lesão sai ao raspar
- Tempo de evolução
- Presença de dor
- Hábitos do paciente (tabaco, álcool)
- Localização
- Aspecto da superfície
Quando há dúvida, pode ser indicada biópsia, que é a retirada de um pequeno fragmento para análise microscópica.
A biópsia serve para:
- Confirmar o diagnóstico
- Avaliar se há alterações celulares
- Definir conduta adequada
Leucoplasia é câncer?
Não necessariamente.
A leucoplasia é considerada uma lesão potencialmente maligna, o que significa que algumas podem apresentar alterações celulares ao longo do tempo.
Importante:
- Muitas não evoluem para câncer
- O risco varia conforme características clínicas e fatores associados
- O diagnóstico precoce permite acompanhamento seguro
Quanto mais cedo for avaliada, melhor o controle.
Quais fatores aumentam o risco?
Alguns fatores estão associados ao surgimento ou agravamento:
- Tabagismo
- Consumo frequente de álcool
- Trauma crônico
- Exposição solar excessiva (no caso do lábio)
Reduzir esses fatores ajuda na prevenção e no controle.
Toda mancha branca precisa de biópsia?
Não.
A biópsia é indicada quando:
- A lesão persiste por mais de 15 dias
- Não há causa evidente
- Apresenta áreas vermelhas associadas
- Tem aspecto irregular ou endurecido
Lesões claramente traumáticas podem ser acompanhadas após remoção do fator irritante.
O que fazer ao perceber uma mancha branca na boca?
Passo a passo prático:
- Observe há quanto tempo está presente.
- Verifique se dói ou sangra.
- Avalie se há prótese ou dente machucando o local.
- Se persistir por mais de 15 dias, procure avaliação profissional.
Evite automedicação ou receitas caseiras.
Mini FAQ
Mancha branca que sai ao raspar é leucoplasia?
Geralmente não. Lesões que saem ao raspado costumam ser candidíase.
Leucoplasia dói?
Na maioria dos casos, não. Por isso pode passar despercebida.
Quem fuma tem mais risco?
Sim. O tabagismo é um dos principais fatores associados.
Toda leucoplasia vira câncer?
Não. Mas algumas podem apresentar alterações celulares, por isso precisam acompanhamento.
A mancha pode desaparecer sozinha?
Se for causada por trauma leve, pode regredir após remover o fator irritante. Lesões persistentes precisam avaliação.
Conclusão
Manchas brancas na boca não devem ser ignoradas, especialmente quando persistem.
A leucoplasia é um diagnóstico clínico feito após excluir outras lesões e pode exigir acompanhamento ou biópsia.
Avaliação precoce traz segurança, reduz riscos e permite conduta adequada.
Se você identificou uma mancha branca que não melhora, procure avaliação com um dentista estomatologista.
Atualizado em: fevereiro/2026




