trauma crônico na boca

Mancha branca na boca (leucoplasia): o que pode ser e o que fazer?

Mancha branca na boca (leucoplasia): o que pode ser e o que fazer?

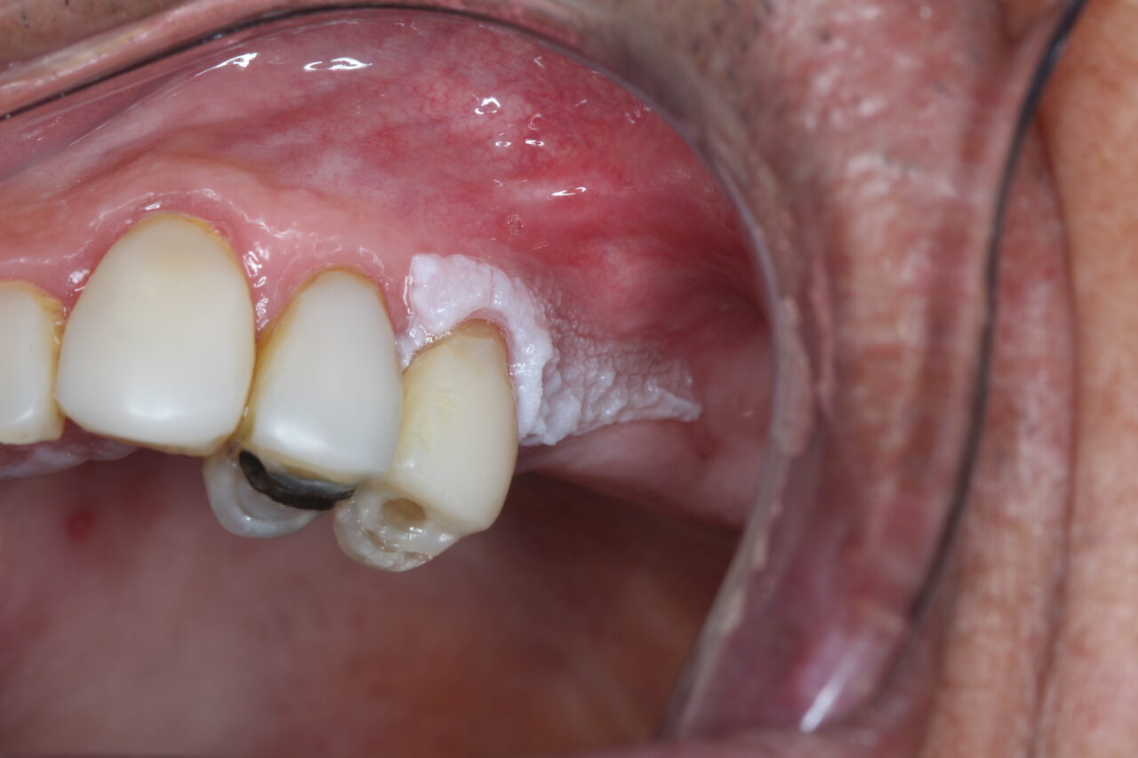
Uma mancha branca persistente na boca pode ter várias causas. Quando ela não sai ao raspar e não pode ser diagnosticada clinicamente como outra lesão comum, pode ser chamada de leucoplasia. Esse é um termo clínico usado após excluir outras doenças. Nem toda leucoplasia é grave, mas toda mancha branca persistente deve ser avaliada por […]

Atendimento WhatsApp
1